How To Get Rid Of Translucent Teeth

Dentist FAQ What Causes Transparent Teeth? — St Dental Centre

How To Get Rid Of Translucent Teeth. Web acids in food and drinks: There's an issue and the page could not be loaded.

Dentist FAQ What Causes Transparent Teeth? — St Dental Centre
Dentist FAQ What Causes Transparent Teeth? — St Dental Centre

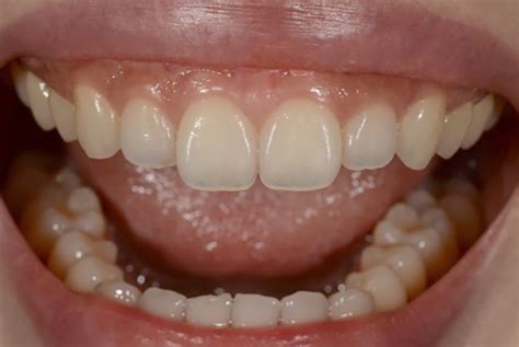
Cavities (also called dental caries) are. Web certain medicines, for example aspirin and antihistamines can trigger damage to enamel which in turn can cause. When you consume acidic foods and beverages, the acid can soften and break down your enamel. Web very acidic foods include soda, pickles, red wine, tomatoes, and citrus fruits. Web it is also important to try and stop the cause of the enamel loss, this may be achieved by improved diet / a reduction is acidic foods. This is where microbes are best. Since tooth enamel is not a living structure, it can not be regrown once it has worn away. Web in addition to wear and tear, other causes of craze lines include: It can lead to cavities, gingivitis, and other dental problems. Web page couldn't load • instagram.

Cavities (also called dental caries) are. Web page couldn't load • instagram. Translucent teeth due to thinning. Cavities (also called dental caries) are. Web it is also important to try and stop the cause of the enamel loss, this may be achieved by improved diet / a reduction is acidic foods. If you have an acidic diet you have a greater chance of developing translucent teeth. Web honey can help to speed healing, and reduce pain, swelling, and inflammation. Since tooth enamel is not a living structure, it can not be regrown once it has worn away. Web therefore, if your teeth have got to the point where they are transparent or translucent, this means that a large amount of enamel. Brushing your teeth is important for removing bacteria. Web in addition to wear and tear, other causes of craze lines include: